Nuestro Equipamiento

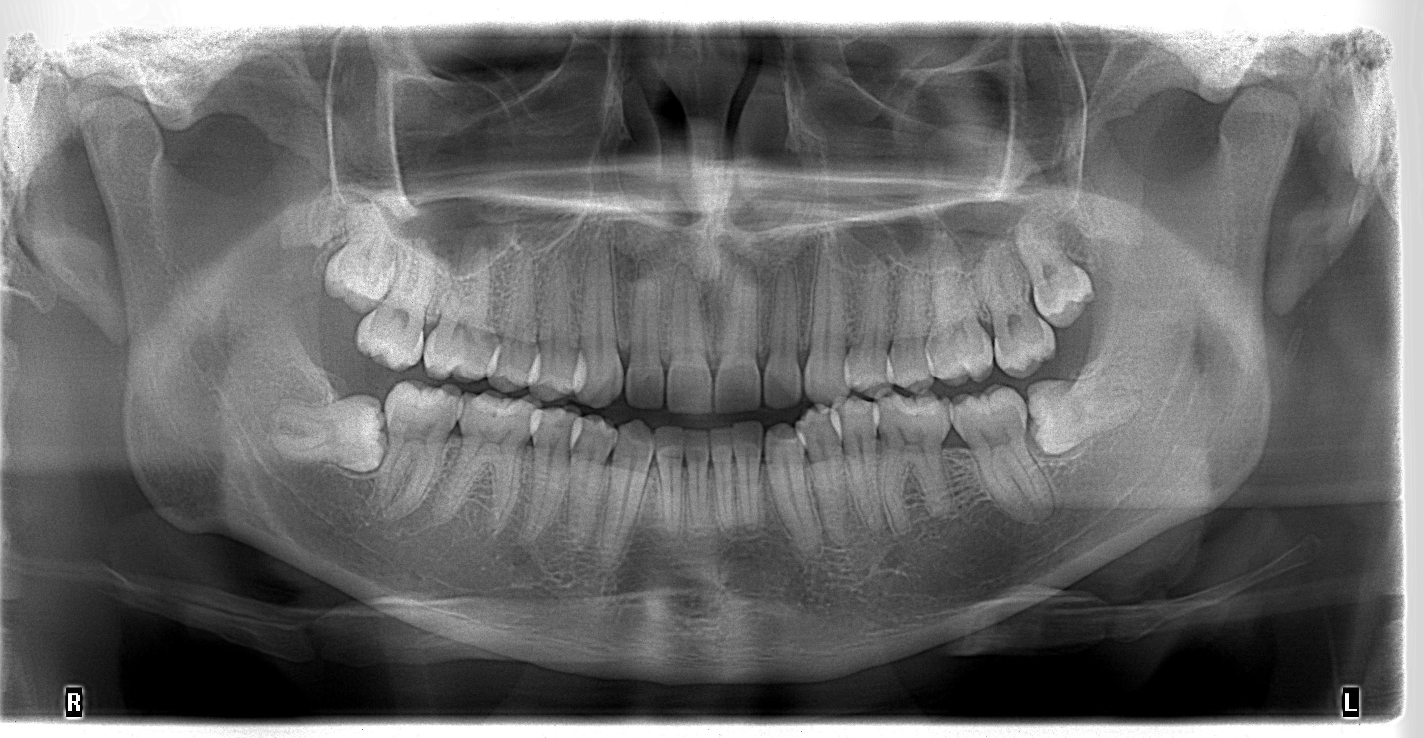
VERAVIEWPOCS 3D
Diseñado con las características mas avanzadas, es una unidad panorámica de rayos-x de última tecnología para imágenes en 3D.
Esta unidad no sólo ofrece alta resolución y baja exposición, si no que también brinda un posicionamiento y una manipulación de imagen fácil y preciso. Igualmente brinda la ventaja de un procesamiento versátil de imagen y produce imágenes 3D brillantes y sin distorsión.
CÁMARA FOTOGRÁFICA CANON REBEL T3i DDCS
Fotografías de alta calidad ideal para trabajo odontológico, con formatos en alta resolución que sirve para ser impreso o publicado en nuestra plataforma web sin reducir su calidad.


SOREDEX OPTIME
Sistema de Imagen Digital para radiografías intraorales. El sistema de imágenes Optime intraoral digital está diseñado para hacer que el trabajo en la oficina dental sea más fácil y más eficiente. El Optime es pequeño, fácil de usar y rápido de manejar.
IMPRESORA DRIPIX 2000
La DRYPIX 2000 combina una alta resolución y una gran velocidad con todas las calidad de las impresoras láser. Admite varios tamaños de película. Además, el sistema tiene un diseño extremadamente compacto y un funcionamiento silencioso inigualable.
El uso de la nueva y revolucionaria película DI-HT de Fuji garantiza la producción de imágenes de diagnóstico de gran calidad, así como una larga estabilidad de la imagen. Cuenta con Image Intelligence™ que es un conjunto de sofisticadas tecnologías de procesado de imagen digital incorporadas en la DRYPIX 2000 que procesa los datos de imagen y optimiza la salida final.


Interpolación Spline de Respuesta Variable Avanzada (A-VR)
La A-VR de Fujifilm detecta y distingue automáticamente ente entre datos de imágenes y caracteres alfanuméricos, garantizando una reproducción nítida incluso cuando las imágenes con ruido requieren una interpolación suave de los datos de la imagen. Esto repercute en un diagnóstico más fácil, rápido y preciso.


