Servicios

Tomografía Cone Beam 3D
La Tomografía Computarizada Cone Beam (TCCB) es una tecnología en rápido desarrollo que proporciona imágenes de alta resolución espacial del complejo craneofacial en tres dimensiones (3D). Durante la última década, el número de publicaciones relacionadas a la TCCB en la literatura se ha incrementado de manera significativa, pero la cuestión fundamental es si esta tecnología conduce a mejores resultados.
Rx Perfil
Radiografía muy útil para diagnosticar patologías craneomandibulocervicales y de mucha utilidad en ortodoncia.


RX Panorámica
Es una radiografía que abarca la mandíbula desde un condilo hasta el condilo del lado opuesto. Deja observar todas las estructuras dentarias y sus tejidos adyacentes en una sola toma.
Estudio Cefalométrico
Estudio Cefalométrico Computarizado: utilizamos programas especiales de computadora, para estudiar la posición de los dientes y el crecimiento de los huesos maxilares.


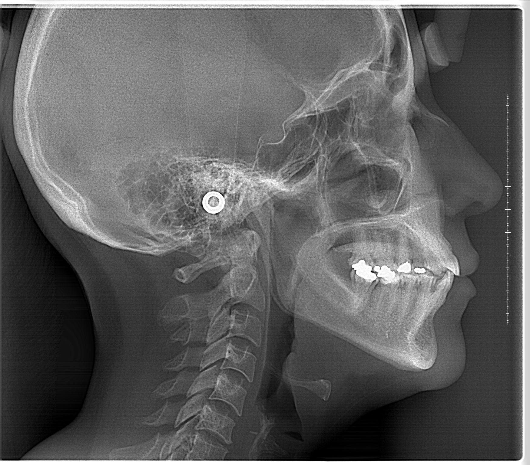
Rx ATM
Es un radiografía para observar con claridad el cóndilo y cuello del cóndilo. con boca abierta y boca cerrada; es útil para observar fracturas de cóndilo , cuello de cóndilo y patologías de temporomandibulares.
Fotos Clínicas - Estudios
Son fotografías que se toman antes de comenzar el tratamiento. Estas son intraorales y estraorales para hacer análisis faciales. Son de gran utilidad para el Odontólogo para realizar un diagnóstico y tratamiento.


Modelos
Son copias en yeso de los dientes y huesos maxilares que al colocarse en posición reproducen la mordida habitual del paciente. Con estos modelos el ortodoncista estudia la forma y tamaño de los dientes y de los arcos dentarios con índices, que le darán la información necesaria para el diagnóstico.
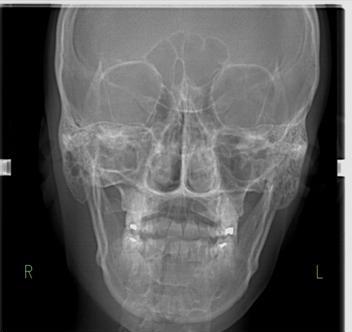
Rx AP
La radiografía anteroposterior es una radiografía útil para diagnosticar fracturas de cóndilos mandibulares y arco zigomático y simetría facial.


Rx Paranasales - Rx Waters
Son imágenes de los senos maxilares, frontal, etmoidal, canales nasolacrimal e infraorbitario, para el diagnóstico de tumores y enfermedades sinusales de origen dentario.
Rx Carpograma
Es una radiografía que sirve para observar factores de crecimiento en los niños.


Rx Periapical Digital
Es una radiografía que se ubica dentro de la boca para tomar un diente específico, permite diagnósticos exactos relacionados con los dientes y sus tejidos de soporte.
Rx Oclusal
Sirven para observar:
- Raíces retenidas de dientes extraídos.
- Dientes supernumerarios (extra), no erupcionados o impactados.
- Cuerpos extraños en maxilar o mandíbula.
- Cálculos salivales en los conductos de la glándula mandibular.
- Ayudar en el examen de pacientes que no pueden abrir su boca más que unos milímetros.



